

Tomografía computarizada (TC)

Patrones más frecuentes
-
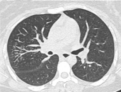
Opacidad en vidrio deslustrado
-
Múltiples lóbulos
-
Distribución subpleural o periférica (a menudo preservación central)
-
Engrosamiento septal
-
Engrosamiento bronquial
-
Consolidaciones pulmonares / Pavimento loco “crazy paving” (enfermedad más avanzada)
-
De predominio periférico, basal y generalmente bilateral
-
No nódulos, no derrame, no cavitaciones
Ejemplos
Opacidad en vidrio deslustrado y distribución periférica (subpleural)
La opacidad en “vidrio deslustrado” se define como un aumento ligero de la atenuación pulmonar que mantiene visibles los contornos bronquiales y vasculares.
Múltiples lóbulos
Engrosamiento septal i bronquial
Crazy paving
Crazy-paving es un patrón que se ve en secciones de cortes finos de TAC pulmonar (TACAR) y que superpone un patrón lineal con opacidades en vidrio deslustrado, dando un aspecto de figuras poliédricas que se asemejan a los adoquines o empedrados de los pavimentos.

(Clicar para ampliar las imágenes)
Evolución

1. FASE PRESINTOMÁTICA
Áreas en vidreo deslustrado, a menudo unilaterales.
2. PRIMERA SEMANA DESDE INICIO DE SÍNTOMAS
Las lesiones se vuelven bilaterales, más extensas, difusas con afectación de numerosos segmentos. Sobretodo áreas en vídreo deslustrado de distribución predominantemente periférica aunque también central. En algunos casos con crazy paving y en ocasiones con engrosamientos pleurales. Hallazgos menos frecuentes derrame pleural o adenopatías.
3. SEGUNDA SEMANA DESDE INICIO DE SÍNTOMAS
El patrón en vídrio deslustrado se reduce, aunque predomina aún y aparecen áreas de consolidación parenquimatosas a menudo con las características de neumonía organizativa.
4. EVOLUCIÓN A SDRA
Continúa la resolución del patrón de vidrio deslustrado y se observan bandas parenquimatosas.
Casos clínicos
Caso clínico 1: Mujer de 47 años con fiebre 38.8ºC durante tres días

a) Día 3: una pequeña región subpleural con patrón de vidrio deslustrado con una consolidación parcial lóbulo inferior derecho.
b) Día 7: región con patrón de vidrio deslustrado aumentada con engrosamiento septal inter e intralobular (“crazy paving pattern”) con consolidación parcial.
c) Día 11: resolución parcial del patrón de vidrio deslustrado, con un nuevo área de consolidación subpleural.
d) Día 20: continúa la resolución del patrón de vidrio deslustrado y se observan bandas parenquimatosas.
Caso clínico 2: Hombre de 77 años



Día 5 después del inicio de los síntomas.
Opacidades en patrón de vidrio deslustrado bilaterales, de predominio periférico.
Día 15 después del inicio de los síntomas.
Aumentan las opacidades en patrón de vidrio deslustrado en ambos pulmones y aparecen consolidaciones subpleurales.
Día 20 después del inicio de los síntomas.
Expansión bilateral de las lesiones pulmonares, con aumento de tamaño y densidad de la consolidaciones y aparece efusión pleural bilateral.
El paciente murió 10 días después de este TAC.
Caso clínico 3: Mujer de 42 años

a) Día 3 después de la aparición de síntomas: afectación del parénquima pulmonar en forma de consolidaciones multifocales bilaterales, subpleurales.
b) Día 7: incremento en la extensión de las lesiones, la densidad se vuelve heterogénea, engrosamiento del paquete broncovascular.
c) Día 11: opacidades previas se disipan en forma de patrón de cristal deslustrado, presencia de líneas irregulares de opacidad, progresión hacia la resolución de la neumonía.
d) Día 18: mayor resolución de las lesiones, el paciente fue dado de alta 2 días después.
Hallazgos indeterminados y diagnósticos alternativos
Otros hallazgos indeterminados para COVID-19 que pueden encontrarse son:
-
Engrosamiento pleural
-
Bronquiectasis
-
Derrame pleural
-
Linfadenopatías
Por otra parte, debemos tener presente que hay patrones radiológicos que pueden aparecer de
manera excepcional en estos pacientes y que pueden ser indicativos de un diagnóstico
alternativo:
-
Lesión localizada lobar
-
Cavitaciones
-
Signo de "tree in bud"
-
Calcificacion
-
Neumotórax
-
Masas
(Clicar para ampliar las imágenes)
Porcentajes
-
En el estadio presintomático destaca el patrón opacidad en cristal deslustrado (presente en un 90% de los pacientes).
-
Durante la primera semana vemos que el patrón mayoritario es el mismo, pero aumentan los casos donde ya aparece consolidación.
-
Durante la segunda semana sigue bajando el porcentaje de paciente con el patrón de opacidad en cristal deslustrado y sigue aumentando la consolidación y la coexistencia de ambos patrones.
-
En la tercera semana pasan a ser mayoritarios los pacientes con un patrón mixto.

Bibliografía
-
Linda Moy, David Bluemke. The Radiology Scientific Expert Panel (2020). Radiology DOI: 10.1148/radiol.2020204005
-
Tao Ai, Zhenlu Yang, Hongyan Hou, Chenao Zhan, Chong Chen, Wenzhi Lv, Qian Tao, Ziyong Sun, and Liming Xia. Correlation of Chest CT and RT-PCR Testing in Coronavirus Disease 2019 (COVID-19) in China: A Report of 1014 Cases. (2020) Radiology DOI: 10.1148/radiol.2020200642
-
Adam Bernheim, Xueyan Mei, Mingqian Huang, Yang Yang, Zahi A. Fayad, Ning Zhang, Kaiyue Diao, Bin Lin, Xiqi Zhu, Kunwei Li, Shaolin Li, Hong Shan, Adam Jacobi, and Michael Chung.Chest CT Findings in Coronavirus Disease-19 (COVID- 19): Relationship to Duration of Infection. (2020) Radiology DOI: 10.1148/radiol.2020200463
-
Time Course of Lung Changes On Chest CT During Recovery From 2019 Novel Coronavirus (COVID-19) Pneumonia. Feng Pan, Tianhe Ye, Peng Sun, Shan Gui, Bo Liang, Lingli Li, Dandan Zheng, Jiazheng Wang, Richard L. Hesketh, Lian Yang, and Chuansheng Zheng. (2020) Radiology DOI: 10.1148/radiol.2020200370
-
Heshui Shi, Xiaoyu Han, Nanchuan Jiang, Yukun Cao, Osamah Alwalid, Jin Gu, Yanqing Fan, Chuansheng Zheng. Radiological findings from 81 patients with COVID-19 pneumonia in Wuhan, China: a descriptive study. (2020) The Lancet DOI: 10.1016/ S1473-3099(20)30086-4
-
Diagnóstico por imagen de las enfermedades Pulmonares difusas: Signos y patrones diagnósticos básicos: http://www.neumologiaysalud.es/descargas/R5/R53-6.pdf
-
Crazy paving. ¿Un patrón que ayuda o confunde? https://posterng.netkey.at/esr/viewing/index.php?module=viewing_poster&task=&pi=125051
-
Han R, Huang L, Jiang H, Dong J, peng H, Zhang D. Early Clinical and CT Manifestations of Coronavirus Disease 2019 (COVID-19) Pneumonia. AJR Am J Roentgenol. 2020 Mar 17:1-6. doi: 10.2214/AJR.20.22961. Disponible en [https://www.ajronline.org/doi/pdf/10.2214/AJR.20.22961]
-
Salehi S, Abedi A, Balakrishnan S, Gholamrezanezhad A. Coronavirus Disease 2019 (COVID-19): A Systematic Review of Imaging Findings in 919 Patients. AJR Am J Roentgenol. 2020 Feb: 1-7. 10.2214/AJR.20.23034Disponible en [https://www.ajronline.org/doi/full/10.2214/AJR.20.23034]
-
Thoracic Imaging in COVID-19 Infection. Guidance for the Reporting Radiologist British Society of Thoracic Imaging. 13/03/2020: https://www.bsti.org.uk/media/resources/files/BSTI_COVID-19_Radiology_Guidance_v1_13.03.20_9kzNSRs.pdf
-
Radiology Assistant Educational site of the Radiological Society of the Netherlands by Robin Smithuis MD: https://radiologyassistant.nl/chest/lung-hrct-basic-interpretation#nodular-pattern-tree-in-bud
-
COVID19 database. Società Italiana di Radiologia Medica e Interventistica: https://www.sirm.org/category/senza-categoria/covid-19/
-
Shi, H., Han, X., Jiang, N., Cao, Y., Alwalid, O., Gu, J., … Zheng, C. (2020). Articles Radiological findings from 81 patients with COVID-19 pneumonia in Wuhan , China : a descriptive study. The Lancet Infectious Diseases, 3099(20), 1–10. Disponible en [https://doi.org/10.1016/S1473-3099(20)30086-4]
-
Pneumonia, C. (2020). CT Manifestations of Two Cases of 2019 Novel, 6, 2019–2020. Disponible a [https://doi.org/10.1056/NEJMoa2001191]

















